At The Kensington Dentist, we’re committed to offering advanced, comfortable hygiene treatments, including Airflow cleaning.
Here’s everything you need to know!
What is Airflow Teeth Cleaning?
Airflow teeth cleaning (often called Airflow polishing) is a modern dental hygiene procedure that uses a gentle jet of air, water, and fine powder to remove surface stains and biofilm from your teeth. In more recent years it is becoming a widely used treatment for implant maintenance and peri-implant disease prevention.
This treatment is popular among patients looking for a thorough yet gentle cleaning that leaves teeth feeling fresh, cleaner and smooth. It’s commonly offered as part of routine hygiene visits, or as a finishing touch before cosmetic treatments like whitening or braces adjustments and can give the appearance of a whiter smile by gently removing those stubborn tea, coffee, wine and tobacco stains.
How Does Airflow Teeth Cleaning Work?
Airflow teeth cleaning uses a specialised device that emits a pressurised stream of:
- Compressed air
- Water
- A fine, tooth-friendly powder (often erythritol or glycine)**
This mix is directed at the tooth surface to dislodge biofilm and surface stains. The powder particles are soft and safe, yet effective at cleaning even hard-to-reach areas between teeth and along the gum line.
Is Airflow Teeth Cleaning Painful?
Most people find Airflow cleaning comfortable and virtually pain-free. Because it’s non-abrasive and gentle, it’s often more pleasant than traditional polishing.
However, if you have:
- Sensitive teeth
- Inflamed gums
- Exposed root surfaces
- Active gum disease
you may feel mild sensitivity during the procedure. Our dental hygienists adjust the pressure and powder type based on your comfort levels, and we always check in with you throughout the treatment.
How Long Does Airflow Teeth Cleaning Take?
An Airflow cleaning session typically takes about 10 minutes, depending on:
- The level of staining
- How long it’s been since your last cleaning
Can I eat and drink straight after Airflow?
Yes, you can eat and drink straight after your airflow treatment, although avoiding staining foods and drinks and smoking for a few hours after may help to maintain the results.
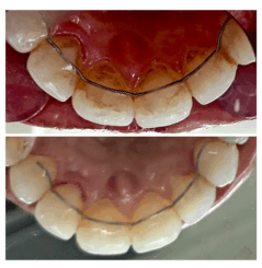
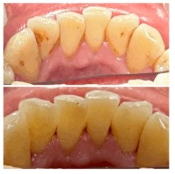
Before & After Airflow Teeth Cleaning

Is Airflow Cleaning Safe for Everyone?
Airflow teeth cleaning is considered safe for the vast majority of patients, including those with dental restorations such as crowns, bridges, and veneers. The powder and airflow are gentle enough not to damage enamel or dental work.
That said, there are a few situations where we might modify or postpone the treatment:
- Active infections or severe gum disease
- Open wounds in the mouth
- Recent oral surgery
- Certain respiratory conditions such as unstable asthma (we assess case by case)
During your dental health assessment, we always check your medical and dental history to ensure Airflow is right for you.
If you’re curious whether Airflow teeth cleaning is right for you, simply book a routine hygiene appointment with us and your clinician can discuss this treatment. We’ll be happy to tailor your hygiene plan to your smile and comfort.
Get in touch with us today to experience a fresher, brighter clean.